
HSPB8 is a chaperone involved in the Chaperone Assisted Selective Autophagy (CASA) complex. Patients with mutations in HSPB8 gene develop myopathy displaying histologic features of myofibrillar myopathy similar to the pathology in myopathies due to gene defects in other components of the CASA complex such as BAG3 and DNAJB6. Muscle biopsy typically shows fatty replacement, aggregates, rimmed vacuoles, and endomysial fibrosis.

Myopathological findings in HSPB8-related vacuolar myopathy. Biopsy of the quadriceps demonstrating multiple fibres harbouring rimmed vacuoles (arrowheads, A, haematoxylin and eosin, and B, modified Gomori trichrome) and focal increases of nicotinamide adenine dinucleotide tetrazolium reductase enzyme activity (arrowhead, C). A few fibres in one region of the specimen displayed aggregates of myotilin (arrowheads, D) and dystrophin (arrowhead, E). Rare muscle fibers showed punctate T-cell intracellular antigen 1 (TIA1) reactivity (arrowheads, F). Diffusely increased desmin, αB-crystallin and neural cell adhesion molecule reactivity was observed in few atrophic fibres (not shown). Scale bar 50 μm in all panels.
Nicolau S, Liewluck T, Elliott JL, Engel AG, Milone M. A novel heterozygous mutation in the C-terminal region of HSPB8 leads to limb-girdle rimmed vacuolar myopathy. Neuromuscul Disord. 2020 Mar;30(3):236-240. doi: 10.1016/j.nmd.2020.02.005. Epub 2020 Feb 12. PMID: 32165108.

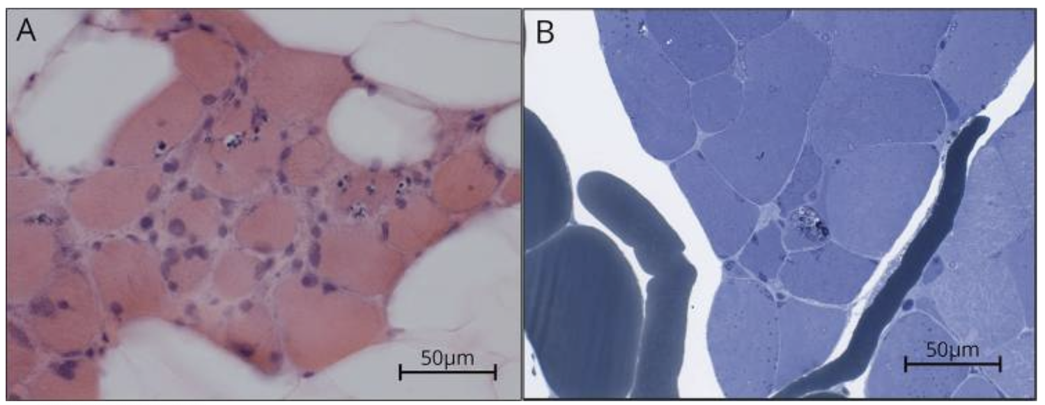
Muscle biopsy shows rimmed vacuoles:
(A) Muscle histology of a biopsy of the left vastus lateralis from case 2 shows the presence of rimmed vacuoles (in 3 fibers), adipose replacement, moderate to severe endomysial fibrosis, muscle fiber size variation, numerous atrophic muscle fibers, and increase in central nuclei. (B) Semithin section stained with toluidine blue showing a single fiber with accumulated autophagic vacuoles, corresponding to rimmed vacuolar changes in muscle cryosections.
Al-Tahan S, Weiss L, Yu H, Tang S, Saporta M, Vihola A, Mozaffar T, Udd B, Kimonis V. New family with HSPB8-associated autosomal dominant rimmed vacuolar myopathy. Neurol Genet. 2019 Jul 10;5(4):e349. doi: 10.1212/NXG.0000000000000349. PMID: 31403083; PMCID: PMC6659134.
